機能面を意識した審美歯科
Function aesthetic dentistry
機能面を意識した審美歯科とは
現在、口元の『美』を追求する方が増えています。
就職活動などのために治療する方もいれば、口元にコンプレックスがあり、 「人と話したくない」「思いきり笑えない」という悩みを抱えている方もいます。
審美的な治療をすることで他人から好印象をもってもらったり、 コンプレックスが解消されて笑顔に自信がもてるようになることはとても大切ですが、 審美歯科は単にそれらを達成することだけが目的ではありません。
正しい咬み合わせを作り出し、全身の健康へとつながる口の健康を最良の状態にする『機能』も必要なのです。
つまり、患者さん各自の歯や歯肉などがバランスよく均衡が保たれ、 正常な働きをする状態に改善するということです。
当院では審美歯科の治療に十分な時間をかけることを心がけています。
治療前のカウンセリングでは患者さんのご希望や治療方法を納得いただけるまでご説明し、 満足いただける治療をさせていただきます。
オールセラミック
オールセラミッククラウンは、被せ物の素材が、全てセラミック(陶器)で作られています。
メリットは、天然の歯のような透明感とつやがあり、金属不使用で変形などの劣化が起きにくいという点です。
金属アレルギーの方にもご使用いただくことができ、オールセラミッククラウンに替えることで、 過去の治療で起きた歯肉の黒ずみを改善することができます。
デメリットは、素材がレジン(プラスチック)や銀のものよりも治療費が高額となることです。
歯科医や技工士にも高い技術が要求されるので、審美歯科治療に実績のある歯科医院で治療を受けることが望ましいでしょう。 また、クラウンの中の土台も金属不使用の白いものを使用すると、透明度の高さが活かされて美しく仕上がります。
より美しく仕上げるために
立ち上げは歯肉の0.5mm内側から
歯肉の0.5mm内側からクラウンを立ち上げます。
歯肉のラインよりもわずかに低い位置の歯を削ることで歯肉の内側にクラウンを入れ込むことができ、 患者さんの天然の歯に近く、自然な生え方に見せることが可能になります。
歯の根元から先端へのグラデーション
歯の色は一色ではなく、根元から先端にかけてグラデーションのように何層もの色が重なっています。 先端は、半透明のエナメル質が厚く透明感があります。
つまり、白一色だと不自然な歯になってしまうので、そうならないよう周囲の歯に合わせて自然な色にします。
それによって、ご自分の歯と見分けがつかないほど自然に仕上がります。
歯の裏側も自然な白さに

表からは見えない裏側も、自然な白さに仕上げるので、 歯の裏が見えることをきにせずに口を開けられます。
白いファイバーポストコアの土台

表から見えない内側の土台には、グラスファイバー製のファイバーポストコアを使用します。
オールセラミックの透明度の高さが活かされて、まるで自分の歯のように自然な白さに見えます。
金属不使用なので、歯肉の変色や黒ずみも起こりません。
オールセラミック治療例
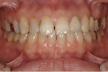
治療例 1
上顎右側1番の被せ物の色が浮いている事を主訴に来院。隣接歯、他の天然歯と比較して違和感のない被せ物を装着しました。
| 治療前 |
|---|
![]() |
| 治療後 |
![]() |
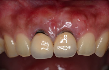
治療の流れ
| 治療前 |
|---|
![]() |
| 歯を形成します |
![]() |
| 被せ物を装着 |
![]() |
| 補綴物 |
![]() |
治療例 2
上顎左側1番の被せ物が外れてしまった事、同右側1番の被せ物と歯茎の間に隙間ができた事を主訴に来院。自然な見た目で強度もしっかりある被せ物を装着しました。
| 治療前 |
|---|
![]() |
| 治療後 |
![]() |
治療の流れ
| 治療前 |
|---|
![]() |
| 歯を形成します |
![]() |
| 被せ物を装着 |
![]() |
| 補綴物 |
![]() |
治療例 3
上顎右側1番がかけてしまったため来院されました。自然な歯の色の被せ物を装着し、前歯で噛める状態に回復しました。
| 治療前 |
|---|
![]() |
| 治療後 |
![]() |
治療の流れ
| 治療前 |
|---|
![]() |
| 歯を形成します |
![]() |
| 被せ物を装着 |
![]() |
| 補綴物 |
![]() |
治療例 4
上顎左側1番の変色を主訴に来院。他の天然歯と区別のつかない美しい被せ物を装着しました。
| 治療前 |
|---|
![]() |
| 治療後 |
![]() |
治療の流れ
| 治療前 |
|---|
![]() |
| 歯を形成します |
![]() |
| 被せ物を装着 |
![]() |
| 補綴物 |
![]() |
治療例 5
| 治療前 |
|---|
![]() |
| 治療後 |
![]() |
3種類の色で調整を行い患者さんの好みに合うものを選択して頂きました。とても微妙な色の変化ですが、細部まで徹底的にこだわって色の調整をします。最終的にSHADE 3で調整。
![]() |
SHADE 1 |
![]() |
SHADE 2 |
![]() |
SHADE 3 |
治療例 6
上顎右側1番の歯ぐきの腫れのため来院されました。レントゲン写真から根尖病巣が認められたため、根管治療を行った上で、他の天然歯と区別のつかない被せ物を装着しました。
| 治療前 |
|---|
![]() |
| 治療後 |
![]() |
治療の流れ
| 治療前 |
|---|
![]() |
| 根管治療後、歯を形成 |
![]() |
| 被せ物を装着 |
![]() |
| 補綴物 |
![]() |
治療例 7
神経を抜いた上の左側1番の変色が気になって来院されました。レントゲン写真から根尖病巣が認められたため、再根管治療を実施し、天然歯と区別のつかない自然な被せ物を装着しました。
| 治療前 |
|---|
![]() |
| 治療後 |
![]() |
治療の流れ
| 治療前 |
|---|
![]() |
| 歯を形成します |
![]() |
| 被せ物を装着 |
![]() |
治療例 8
他医院で前歯2本をメタルセラミックスで治療しましたが、歯と歯茎の間が黒くなってしまったのが気になって来院されました。金属を使用しないオールセラミックスで天然歯と区別がつかない美しい歯になりました。
| 治療前 |
|---|
![]() |
| 治療後 |
![]() |
治療例 9
右下の奥歯のセラミックが割れたため来院されました。現在の状態を詳しく検査した結果、最も咬合力がかかる歯にセラミックインレーを装着してしまっているため、その咬合力に耐えきれずにセラミックインレーが割れてしまったことがわかりました。自然な歯の色で咬み合わせを回復するため、セラミッククラウンを利用し治療を行いました。
| 治療前 |
|---|
![]() |
| 歯を形成します |
![]() |
| 被せ物を装着 |
![]() |
| 治療前 | 歯を形成します | 被せ物を装着 |
|---|---|---|
![]() |
![]() |
![]() |
メタルセラミックス

被せ物や差し歯全体をセラミックスで覆い、内側を金属で補強したものを使用する方法です。
オールセラミックスと異なり土台に金属を使用しているので、 透明感や色調はやや劣りますが、とても丈夫で長持ちするので、 奥歯やブリッジなど、強度が必要とされる部分にはオールセラミックスよりも適しています。
歯の神経を抜いてしまって歯が黒ずんできた、短期間で歯並び、歯の大きさや形を治したい、 以前の治療の金属が見えるのが気になる、 などの悩みをおもちの方におすすめの方法です。
短期間で天然の歯に近い仕上がりに
メタルセラミックスのメリットは、丈夫で割れにくく長持ちすることです。
色調を選ぶことができて変色しにくく、天然の歯に近い美しい仕上がりになります。
しかも、矯正治療のように時間をかけずに短期間で治療が終了します。
内部を金属で補強するので、ブリッジや連結冠などに最適です。
ただし、色調、やた目はオールセラミックスより多少劣ります。
また、使用する金属によっては、歯と歯茎の境目が変色してくることや 金属アレルギーが起こることもあります。
ハイブリッドセラミック
ハイブリッドセラミックスクラウンは、セラミックスとレジンをまぜた素材です。
ハイブリッドセラミックスとセラミックスを比較すると、両方とも白い天然の歯の色調であることは共通していますが、 ハイブリッドセラミックスの方がセラミックよりも変色しやすく、柔らかいという特徴があります。
メリットは、自分の歯の色に合わせやすく自然な仕上がりになることです。
しかも歯と同じ硬さなので噛みごごちも自然で、割れにくくなっています。
また、金属アレルギーの心配もありません。
金額的には、セラミックスよりも低額となっています。
デメリットは、セラミックス100%ではなく耐久性が少し劣る点です。
ハイブリッドセラミック治療例
治療例 1
| 治療前 | 治療後 |
|---|---|
![]() |
![]() |
治療例 2
| 治療前 | 治療後 |
|---|---|
![]() |
![]() |
ラミネートべニア
ラミネートべニアは、歯の表面を少し削ってその上につけ爪のようなセラミックを接着する治療です。
変色した歯の色調の改善、隙間の開いた歯の修復、小範囲の歯並びの改善、歯の形の改善などに用いられます。
歯の表面を少し削るだけなので歯へのダメージや痛みが少なく、治療も短期間で終わります。
オールセラミック同様セラミックだけを使用する方法なので、見た目が自然で変色しにくいという特徴があります。
先天的な変色や神経を抜いた歯の変色など、ホワイトニングの効果がない、 前歯のすきっ歯が気になるなど小範囲の歯並びを直したい、 また、周りの歯と比べて小さい歯があったり、一部欠損して形を整えたい、 などの悩みをおもちの方におすすめの方法です。
短期で終わる治療
ラミネートべニアの治療では歯を削り、セラミックスを接着するので、 噛み合わせや噛む力によって剥がれたり欠けたりする場合があります。
そのため、最初に口の中全体の状態をみて治療可能か否かを診断します。
通常の通院回数は、歯を削って型をとるときと、セラミックスを接着するときの2回です。
まず歯の表面のエナメル質を0.5mmほどの薄さに削って、型を取ります。
次に、その型に合わせて作ったセラミックスのつけ爪のようなものを、 専用の接着剤で削った歯の表面に貼り付けます。
セラミックは破折、ラミネートベニアには破折、脱離の可能性があります。
破折(ひび割れ)した場合には、放置すると抜歯が必要になってしまうこともありますので、早めに受診するようお願い致します





















































